CAD/CAM オールセラミック 支台歯形成 ポイント 注意点 テクニックガイド プレパレーションガイド

2015
CAD/CAM 支台歯形成

CAD/CAM オールセラミックの支台歯形成

CAD/CAM 支台歯形成のポイント オールセラミック(プレパレーションガイド)

1.支台歯基本形成

CAD/CAM技工の支台歯基本形成には5つのポイントがあります。

  • 3面形成
  • リテンションは第1面で3.5mm以上の高さが必要
  • フィニッシュラインはシャンファーかアクセンチュエイテッド シャンファー
  • スムーズなフィニッシュライン
  • 隅角部は丸める
支台歯基本形成 前歯 支台歯基本形成 臼歯
フィニッシュラインの形態と選択すべきバー
削除量
ページ上部へ

2.コンプレインが生じる場合

▲ 唇側歯頚部の削除量不足とアンダーカットがある場合

▲ マージンがなだらかでない場合とテーパーが大きすぎる場合

▲ 遊離エナメルが存在する場合

ページ上部へ

3-1.支台歯形成の手順

1.圧排コード下で最終支台歯形成をする。
2.プロビジョナルレストレーションの調整をする。
3.支台歯形成のチェック、再形成後に最終印象採取をする。(10日~2週間後)
※歯肉縁下の形成と最終印象1~3を同日に行ってしまうと、予期しない歯肉の炎症や歯肉退縮が発現する場合がある。
必ず、別の日にして再評価後に最終印象を採取するのが成功のポイントです。

3-2.支台歯形成の基準

▼常に意識するべき形態

▼臨床例

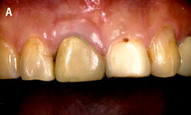
A:最終支台歯形成時には必ず歯肉圧排を行う
B:形成終了時。左側の近心フィニッシュラインの削除量が不足しているためテーパーが強すぎる。この部分は印象採取時に再形成を行う。

C:Bに対プロビジョナルレストレーションの調整終了時 
D:2週間後の再評価時

E:部分的な2重圧排法
F:最終印象採取時

G:完成したマスター模型
H:必要を満たしたダイ模型の側面観

ページ上部へ

4.生活歯の支台歯形成で注意すべき事項

▲術前の状態

▲形成終了後の状態 注意事項を念頭に置くことで、露髄などの問題が生じずに十分な量の形成量を確保することができる。

プロセラテクニックガイド(プロセラプレパレーションガイド)はノーベルバイオケア社の許諾を得て掲載しています。
画像提供 ノーベルバイオケア社
ページ上部へ